Topuk kemiğinizi (kalkaneus) kırmanız kolay değildir. Çünkü şiddetli motorlu araç kazalarında veya yüksekten düşmede olduğu gibi, oldukça fazla güç gerektirmekle birlikte, özellikle arka taraf yaralanmaları gibi diğer yaralanmalarda da topuk kırıkları oluşabilir.
İçindekiler
Belirtiler ve Semptomlar
- Ağrı
- Ağırlık taşımada güçlük (kemikte)
Ağrı ayak bileğinin dış tarafının üzerine, aşağı bacak kemiklerinden olan fibulanın tam aşağısına santralize olabilir. Veya özellikle, ayağınızın üzerine bastığınızda topuk dokusu içinde odaklanabilir. Ayağınız şişmiş ve sert olabilir. Hemen doktorunuza gidin, çünkü kemik uygun olmayan bir şekilde iyileşirse, ileride ciddi problemler oluşabilir.
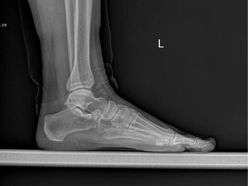
Bir Topuk Kırığının Teşhisi
Doktorunuz, ağrı ve hassasiyetin olduğu bölgeyi tam olarak saptayacaktır.Muhtemelen pek çok topuk ve ayak bileği bölgelerinin röntgenleri çekilecektir. Bir komputed tomografi (CT) taraması da yardımcı olabilir. Aynı zamanda topuğun arka kısmında ağrı çekiyorsanız doktorunuz kırık olup olmadığını anlamak için, alt bacak röntgeni de isteyebilir.
Ayağa duyu ve hareket getiren sinirler, topuk kemiğinin çok yakınından geçerler. Doktorunuz, sinirlerde tahribat olmadığını garanti etmek için, sinirlerin fonksiyonlarını kontrol edecektir. Doktor aynı zamanda, parmaklara akan kanın yeterli miktarda gittiğinden ve ayak kasları içinde basınç oluşmadığından (kompartıman sendromu) emin olmak isteyecektir.

Topuk Kırıklarının Tedavi Edilmesi
Kırık kemiğin parçaları, incinmenin gücüyle yerinden dışarı ittirilmediyse ameliyata gerek yoktur.
- Ayağınız kalbinizin hizasından yukarıya kaldırılır ve kemiklerin yer değiştirmemesi için kocaman bir kompres yapılarak sarılır.
- Ağrı ve şişliği azaltmak için her bir veya iki saat arayla ve 20 dakika süreyle buz paketleri uygulanır.
- Doktorunuz şişme kayboluncaya kadar, bir ile üç hafta süreyle bir atel uygulayabilir. Sonra, doktor çıkarılabilen bir atel verebilir ve esnekliğin ve hareketliliğin devamı için bazı egzersizler tarif edebilir.
Kemiğiniz tamamiyle iyileşinceye kadar -ki bu altı ile sekiz hafta veya daha uzun bir zamanınızı alacaktır- ayağınızın üzerine ağırlık bindirmemelisiniz.
Cerrahi Tedavi
Eğer kemikler dışarı doğru yer değiştirmişse (deplese kırık), büyük bir ihtimalle ameliyata ihtiyacınız olacaktır. Kemiğin iyileşmesi için kemik grefti kullanılabilir. Kemikleri yerinde tutmak için metal bir plak ve küçük vidalar kullanılır. Ameliyat yeri bandajlanacak ve iyileşinceye kadar bir atel uygulanacaktır. Daha sonra, eklem egzersizlerine başlayabilmeniz için, çıkarılabilir atel kullanacaksınız. Aşağı yukarı ameliyattan 10 hafta sonrasına kadar ayağınızın üzerine yük bindirmemelisiniz. Yürümeye başladığınızda özel bir bastona ve özel botlar giymeye ihtiyacınız olabilir.Tam olarak iyileşme, yaralanmadan sonra bir senenizi alabilir.Yaptığınız işin tipine bağlı olarak, aynı tip işe geri dönemeyebilirsiniz. İyileşmeniz düzgün olsa bile, topuğunuz, topuk kemiğini kırmak için gereken gücün miktarından dolayı topuğunuz hiçbir zaman yaralanmadan önceki durumuyla aynı olmayabilir. Topuğunuzdaki sertlik devam edebilir, bunun için topuğu kaldıran bir topuk peti kullanabilirsiniz veya ayak parmakları için ekstra derin bir bölümü olan kup (cup) gibi özel ayakkabılara ihtiyacınız olabilir.
Deniz ALGÜN
Spor Hekimliği • Omuz • Diz • Kalça Artroskopi & Protez