Kırıklar ve Yaralanmalar

Köprücük Kemiği Kırığı

Köprücük kemiği her yaşta çocuk ve erişkinde görülen en sık kırıklardan biridir. En çok çocuklarda ve sporcularda görülü...

Çocuk Dirsek Kırıkları

Çocuklar yüksek fiziksel aktivite nedeniyle sık sık düşerler. Özellikle kol düzken el üzerine düşme sıklıkla dirsek kırı...

Ortopedik Cerrahide Anestezi

Tıp dünyasında son 150 yıldır anestezi ile ameliyatlar yapılmaktadır. Böylece ameliyatlar hasta için ağrısız ve hatırlan...

Skafoid Kırıkları

Çoğunlukla bir kemiğimiz kırıldığı zaman tüm belirtileri ile bunu anlarız.Bölgede belirgin şişlik, ağrı, deformite oluşu...

Arka Adale Çekmesi

Hamstring çekmesi kas liflerinin aşırı gerilmesi veya yırtılmasıdır. Bu çekme kasın iki yapışma noktasında veya kasın he...

Yaralanmalarda İlk Yardım

Yaralanma dışarıdan gelen fiziksel bir etkenin vücutta tahribat yapmasıdır. Fiziksel etkenin büyüklüğüne, vucutta geldiğ...

Ortopedide Gen Tedavisi

Gen tedavisi denince hemen akla vücudun tüm genlerinin değiştirilmesi gelmektedir. Aslında gen terapisi insanın kişisel ...

Ayak ve Ayak Bileği Anatomisi

 Ayak ve ayak bileği yapıları oldukça karmaşık yapıdadır. Özellikle ayak bileği eklemi insan vücudunun en fazla yük...

Kırık Tedavisinde Yeni Yaklaşımlar

Ortopedi ve Travmatoloji alanındaki hızlı gelişmelerin en sık uygulandığı alanlardan biri kırık tedavileridir. Son 10 yı...

Modern Acil Servislerde Ortopedik Yaralanmalara Yaklaşım

Ortopedik yaralanmalar kendi içinde kısaca travma olarak adlandırılan kemik-eklemlerin kırıkları, çıkıkları ve bağ – ten...

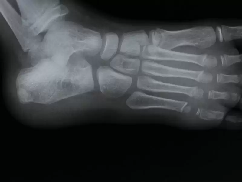
Ayak ve Ön Ayak Kırıkları

Hemen hemen hareket ve desteği sağlayan vücut kemiklerinin dörtte biri ayaklardadır. Ön ayağınızdaki (metatars) veya aya...

Talus Kırığı

Talus kırığı; ayak bileğinde görülen ciddi ortopedik bir problemdir. Ayak ve ayak bileği anatomisi oldukça karmaşık, bir...